

 
	 
		
			虫歯は風邪と同じく細菌(虫歯菌)が原因の感染症です。
			そして30%以上の方が、虫歯で歯を失っています。
		
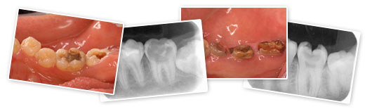
残念ながら、自覚症状(冷たいものがしみる、噛むと痛い、穴が開いたなど)が出たときには、かなり進行しているのが実情ですので、早期発見・早期治療が重要になります。
大きな虫歯になる前にできるだけ早く歯科医院へ向かいましょう!
 
		
			虫歯は、お口の中に住みつくミュータンス菌などの虫歯の原因菌により作られます。
			これらの原因菌は、私達が普段何気なく食べている食事に含まれる糖質(砂糖・炭水化物)を栄養分として酸を作り出し、時間の経過とともにその酸により歯を溶かしていきます。
			つまり虫歯ができるには、
		
			(1)歯(虫歯になりやすい状態の歯)
			(2)砂糖の入ったジュースや飴
			(3)虫歯菌(酸を放出)
			(4)時間(虫歯が進行する時間)
		
			といった条件が必要になり、逆にこれら条件のどれ一つ欠けても虫歯にはなりません。
			 
		
また、ほとんどの方が持っている虫歯菌ですが、産まれたばかりの赤ちゃんに虫歯菌がいないことをご存知ですか?残念ながらほとんどの方は、食べ物の口移しによる母子感染や、成長する過程の中で虫歯菌に感染してしまうのです。